Homem passa dois anos fazendo cocô pelo pênis e ejaculando pelo ânus; entenda o caso

Compartilhe nas suas redes

image_pdfimage_print

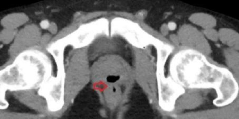
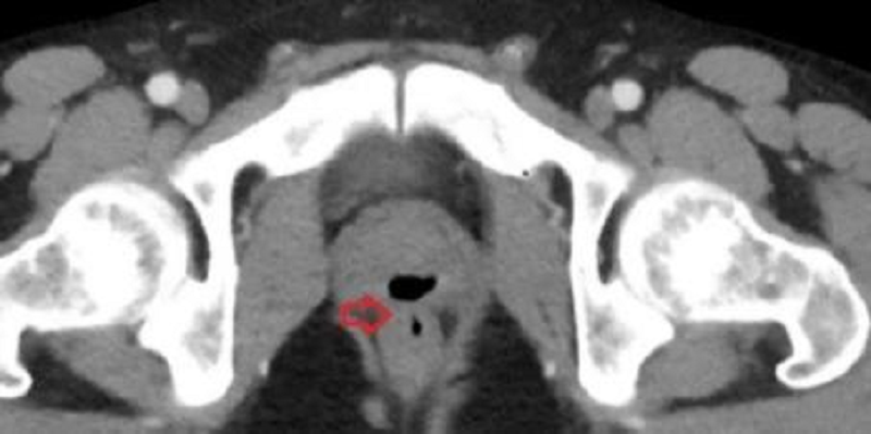
As complicações podem ter sido causadas por um cateter que o paciente recebeu quando esteve em coma
(Foto:Reprodução)

Um homem de 33 anos passou dois anos sofrendo inúmeras complicações após ficar três semanas em coma devido uma intoxicação causada por cocaína e fenciclidina (PCP). Segundo o jornal Daily Star, ele chegou a fazer cocô pelo pênis e ejacular pelo ânus. As informações são do Metrópoles.

O caso, registrado na revista científica Cureus, alega que o rapaz procurou atendimento médico quando seus testículos começaram a inchar e lhe causar uma dor torturante. Conforme publicado, ele tinha pneumatúria e fecalúria, uma condição que expele gases e fezes pela urina, respectivamente. Já pelo ânus, o paciente expeliu uma boa quantidade de sêmen.

Ao ser submetido a um exame de toque retal, a equipe médica descobriu que o paciente tinha problemas na parede retal e uma infecção no trato urinário. Outros exames identificaram uma fústula, passagem anormal entre a uretra e o reto. Ele passou por uma cirurgia e, segundo os médicos, as complicações podem ter sido causadas por um cateter que recebeu quando esteve em coma.

Por:O Liberal

Envie vídeos, fotos e sugestões de pauta para a redação do JFP (JORNAL FOLHA DO PROGRESSO) Telefones: WhatsApp (93) 98404 6835- (93) 98117 7649.

“Informação publicada é informação pública. Porém, para chegar até você, um grupo de pessoas trabalhou para isso. Seja ético. Copiou? Informe a fonte.”
Publicado por Jornal Folha do Progresso, Fone para contato 93 981177649 (Tim) WhatsApp:-93- 984046835 (Claro) -Site: www.folhadoprogresso.com.br e-mail:folhadoprogresso.jornal@gmail.com/ou e-mail: adeciopiran.blog@gmail.com

 


Compartilhe nas suas redes