Homem descobre que pênis está se transformando em osso
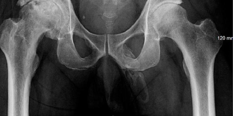
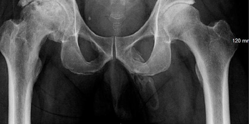
Imagens mostraram “calcificação extensa” (Foto:Reprodução/Urology Case Reports)
Uma ida ao hospital para averiguar uma dor no joelho acaba em revelação chocante
Um homem de 63 anos foi ao hospital por estar com dor no joelho, mas, depois de uma radiografia, descobriu que o seu pênis estava se calcificando. O caso foi relatado em um artigo publicado na “Urology Case Reports”. E o fato ocorreu no Centro MédicoLincoln, na cidade de Nova York, nos Estados Unidos.
O homem havia ido ao hospital depois de uma queda, que provocou dor no joelho. Os médicos solicitaram um raio-x, que revelou o estado raro.
Houve uma “calcificação extensa em forma de placa ao longo da distribuição esperada do pênis”, escreveram os autores do artigo. Não por acaso, o paciente se queixava de dor peniana, como não outro sintoma, o diagnóstico da rara doença de Peyronie demorou.
Os médicos explicam que o problema consiste na formação de fibroses ou nódulos no órgão reprodutor masculino, causando desvios na curvatura do pênis, o que provoca dor.
A doença tem tratamento, mas no caso do norte-americano, o paciente foi embora contra a orientação médica, o que impediu alguma intervenção clínica.
No artigo, escrito por seis especialistas, os autores observam que a “calcificação ocorre geralmente no meio do pênis com poucos casos relatando o envolvimento de todo o eixo”
Fonte:Redação Integrada de O Liberal com informações de Galileu e Urology Case Reports
Envie vídeos, fotos e sugestões de pauta para a redação do JFP (JORNAL FOLHA DO PROGRESSO) Telefones: WhatsApp (93) 98404 6835- (93) 98117 7649.
“Informação publicada é informação pública. Porém, para chegar até você, um grupo de pessoas trabalhou para isso. Seja ético. Copiou? Informe a fonte.”
Publicado por Jornal Folha do Progresso, Fone para contato 93 981177649 (Tim) WhatsApp:-93- 984046835 (Claro) -Site: WWW.folhadoprogresso.com.br E-mail:folhadoprogresso@folhadoprogresso.com.br e/ou e-mail: adeciopiran_12345@hotmail.com



