Criança passa por cirurgia após pisar em tábua de pregos e ter mais de 28 perfurações no pé em Santarém
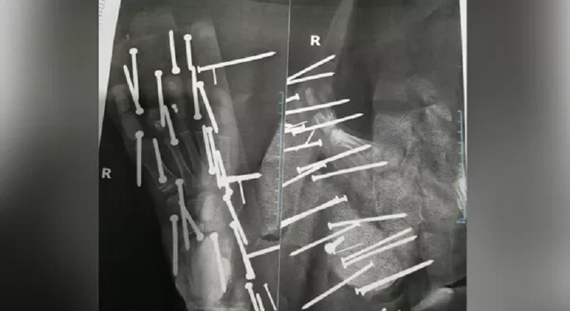
Mais de 28 perfurações foram identificadas no pé da criança — Foto: Reprodução/Redes Sociais
Menino recebeu alta na sexta-feira (7). Acidente aconteceu na quarta-feira (5).
Quando se fala em crianças, a atenção deve ser redobrada para evitar acidentes, já que os pequenos são imprevisíveis.
Mas uma família mesmo cercada de todos os cuidados não conseguiu impedir um acidente. Um menino pisou em uma tábua com pregos e precisou passar por um procedimento cirúrgico em Santarém, no oeste do Pará.
O acidente aconteceu na quarta-feira (5) quando o menino brincava. De acordo com populares, a criança pulou em um terreno baldio e acabou pisando uma tábua que estava cheia de pregos.
No raio-x que circulou nas redes sociais é possível perceber que o pé do garoto teve no mínimo 28 perfurações de pregos e parafusos. O menino teve que passar por um procedimento cirúrgico.
Apesar do susto, a criança passa bem, mas o procedimento foi delicado, para não comprometer o movimento do pé da criança e evitar sequeças. O menino recebeu alta na sexta-feira (7).
Por Dominique Cavaleiro, G1 Santarém — PA
Envie vídeos, fotos e sugestões de pauta para a redação do JFP (JORNAL FOLHA DO PROGRESSO) Telefones: WhatsApp (93) 98404 6835- (93) 98117 7649.
“Informação publicada é informação pública. Porém, para chegar até você, um grupo de pessoas trabalhou para isso. Seja ético. Copiou? Informe a fonte.”
Publicado por Jornal Folha do Progresso, Fone para contato 93 981177649 (Tim) WhatsApp:-93- 984046835 (Claro) -Site: WWW.folhadoprogresso.com.br E-mail:folhadoprogresso@folhadoprogresso.com.br e/ou e-mail: adeciopiran_12345@hotmail.com



